
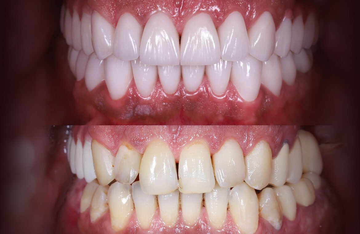
Estetik, Dayanıklılık ve Doğal Gülüşün En Dengeli Hali.
Bir gülüşü gerçek anlamda “mükemmel” yapan şey;
sadece beyazlık değil, doğal görünüm + sağlam yapı + uzun ömür üçlüsüdür.
Doradent’te zirkonyum ve porselen kaplamalar tam bu nedenle tercih edilir:
✔ Doğal diş görünümü
✔ Işık geçirgenliği sayesinde estetik mükemmellik
✔ Yüksek dayanıklılık
✔ Uzun yıllar sorunsuz kullanım
Bu nedenle en çok tercih edilen yöntem:
Zirkonyum kaplama.
Zirkonyum Kaplama Nedir?
Zirkonyum, doğal diş minesine en yakın ışık yansımasını veren,
hem estetik hem de dayanıklılığıyla öne çıkan bir kaplama türüdür.
Doradent’te kullanılan zirkonyum kaplamalar:
✔ Metal içermez (metal desteksiz)
✔ Alerji yapmaz
✔ Renk değiştirmez
✔ Doğala birebir yakın parlaklık sunar
Bu yüzden:
➡ Estetik gülüş isteyenlerde
➡ Kırık, aşınmış dişlerde
➡ Renklenme problemi olanlarda
➡ Daha genç ve canlı bir görünüm isteyenlerde
en ideal çözümdür.
Porselen Kaplama Nedir?
Porselen kaplama, dişin dış yüzeyini kaplayan, estetik amaçlı kullanılan dayanıklı bir materyaldir.
Zirkonyuma göre farkı:
Daha ekonomik olabilir
Estetik olarak hala çok iyi sonuç verir
Gülüş tasarımında sık tercih edilir
Doradent, hastanın ağız yapısına göre
hangi kaplamanın daha doğru olduğuna kişiye özel karar verir.
Hangi Durumlarda Kaplama Tercih Edilir?
✔ Kırık – çatlak dişlerde
✔ Renklenme, sararma geçmeyen vakalarda
✔ Aşırı madde kaybı olan dişlerde
✔ Kanal tedavisi sonrası güçlendirme gerektiğinde
✔ Eğrilik ve şekil bozukluğu düzeltme amaçlı
✔ Estetik gülüş tasarımında
⭐ DORADENT FARKI: Kaplama Değil, Tasarım Yaparız.
Kaplama her klinikte yapılır.
Ama her klinik tasarım yapamaz.
Doradent kaplamalarında şu prensipler vardır:
⭐ 1. Dijital Gülüş Analizi
Yüz hatlarınız, dudak yapınız, konuşma esnasındaki diş görünümü analiz edilir.
⭐ 2. Doğal Diş Renk Haritalandırması
Tek düze, opak ve yapay görüntüler değil…
Gerçek dişteki ışık oyunlarını yansıtan renk tonlamaları uygulanır.
⭐ 3. Üç Boyutlu Ölçüm – Hassas Prova
Ağız içi tarayıcılarla 0,01 mm hassasiyetle ölçü alınır.
Bu sayede kaplama tam oturur, sızdırmaz, konforlu olur.
⭐ 4. Yüksek Kalite Laboratuvar İşçiliği
Doradent’in çalıştığı laboratuvarlar, premium malzeme ve detaylı işçilikle bilinir.
⭐ 5. Doğal Estetik Önceliği
Hedef: “Diş yaptırdığı anlaşılmayan bir sonuç.”
Zirkonyumun Avantajları
✔ Metal içermez (Biyouyumlu)
✔ Işık geçirgenliği yüksektir
✔ Kırılmaya karşı dayanıklıdır
✔ Renk değiştirmez
✔ Ağız kokusuna neden olmaz
✔ Diş eti ile uyumu mükemmeldir
✔ Uzun ömürlüdür
Tedavi Süreci Nasıl İşler?
1️⃣ Muayene & Gülüş Analizi
Dişlerin durumu, estetik beklentiler ve yüz profiline göre analiz yapılır.
2️⃣ Ağız İçi Tarama
Modern dijital tarayıcılarla ölçü alınır (geleneksel silikon ölçü yok).
3️⃣ Geçici Dişler
Estetik kayıp yaşanmaması için hemen geçici dişler hazırlanır.
4️⃣ Kaplama Üretimi
Laboratuvar üretimi ortalama 2–5 gün sürer.
5️⃣ Prova & Yerleştirme
Renk, form ve uyum kontrol edilerek kaplama sabitlenir.
6️⃣ Final Kontrol
Isırma dengesi ve fonksiyon test edilir.
Sık Sorulan Sorular
❓ Zirkonyum kaplama ne kadar dayanır?
Doğru uygulamada 10–15 yıl, iyi bakımda daha uzun.
❓ Kaplama belli olur mu?
Doğru renk, doğru form ve iyi işçilikle kaplamayı fark etmek zordur.
❓ Dişlerde kesim yapılır mı?
Kişiye göre minimal kesim yapılabilir.
❓ Zirkonyum mu daha iyi, porselen mi?
Hastanın beklentisine ve diş yapısına göre Doradent uzmanları karar verir.
❓ Tedavi acıtır mı?
Lokal anestezi uygulanır, işlem ağrısızdır.
Gülüşünüzü Yenilemek İçin İlk Adımı Atın
💬 “Gülüşünüzdeki değişimi görmek sadece birkaç mesaj uzağınızda.”
WhatsApp üzerinden fotoğraf göndererek ücretsiz ön değerlendirme alabilirsiniz.








